
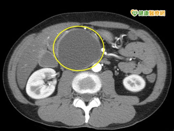
(健康醫療網/記者郭庚儒報導)45歲的黃先生長期酗酒,時常感覺腹脹,吃一點東西就脹氣,3個月內暴瘦10多公斤,曾因急性胰臟炎就醫;日前又因肚子劇痛就醫,檢查竟發現罹患急性胰臟炎,且胰臟假性囊腫長達6公分,裡面都是膿瘡。
胰臟假性囊腫 引發敗血症恐致死
收治個案的台北慈濟醫院胃腸肝膽科主治醫師陳建華指出,胰臟假性囊腫是由壞死細胞、水分或其他胰臟代謝物形成的大膿瘡,患者的囊腫已壓迫到十二指腸,才會造成食慾不振,觀察6周發現囊腫未自行吸收消失,建議進一步接受治療,以免嚴重感染造成敗血症,恐危及性命。
內視鏡超音波治療無副作用
陳建華表示,傳統切除胰臟假性囊腫,必須全身麻醉、剖腹再進行治療,肚子會留下傷口,也可能發生器官沾黏的風險,而內視鏡超音波治療,只要在十二指腸與囊腫間置放支架,引流囊腫液體到腸道,即可排泄到體外,無傷口、恢復快,術後3天就能出院。
戒酒預防胰臟假性囊腫
陳建華強調,飲酒是罹患胰臟炎及假性囊腫的主因,提醒民眾少喝酒、少吃刺激性食物,並控制血脂肪,才能保護胰臟的健康;若術後不戒酒恐再度復發,建議患者最好戒酒。
健康醫療網提醒您:喝酒有害健康!
健康醫療網提醒您:喝酒有害健康!
健康醫療網http://healthnews.com.tw更多健康資訊
資料來源:健康醫療網 http://www.healthnews.com.tw/readnews.php?id=24176
【加入Whatsapp社群 (限2000人)】👉 https://bit.ly/cook1cookwhatsapp 接收熱門食譜
(你嘅電話號碼絕對保密,唔會比其他人睇到,無須擔心私隱問題)
(你嘅電話號碼絕對保密,唔會比其他人睇到,無須擔心私隱問題)
喜歡這篇文章嗎?快分享吧!

